Introduction
La communication nerveuse est le moteur essentiel du comportement des humains et des animaux. Le système nerveux forme dans l’organisme un réseau de communication qui permet à la fois de recueillir des informations, d’intégrer ces informations et d’élaborer des décisions.
- Comment s’établit cette communication entre récepteurs sensoriels et organes effecteurs ?
I – Propriétés du nerf
1 – Mettre en évidence les propriétés du nerf

Image: Image
L'image ne peut pas être affichée
Après décérébration et démédullation d’une grenouille, on isole le nerf sciatique de la patte postérieure (par dissection).
À l’aide d’un stimulateur électrique, on réalise des excitations sur le nerf isolé.
Résultats expérimentaux : après chaque stimulation, le muscle gastrocnémien se contracte.
Q – Interprétez ces résultats
R – Chaque excitation produit un influx nerveux qui, au niveau du nerf, cet influx est transféré ensuite au muscle.
Conclusion : l’excitabilité et la conductibilité sont deux propriétés essentielles du nerf.
2 – L’excitabilité

Image: Image
L'image ne peut pas être affichée
La figure suivante présente le montage utilisé pour étudier l’excitabilité du nerf.
On applique au nerf des excitations d’intensités croissantes, et on détermine pour chaque excitation le temps nécessaire à la réponse du nerf, le tableau suivant présente les résultats obtenus.
Q-1 – Réalisez la courbe d’excitabilité du nerf.
Q-2 – Déterminez graphiquement les caractéristiques de l’excitabilité de ce nerf.

Image: Image
L'image ne peut pas être affichée
R-1 – Réalisation de la courbe d’excitabilité.
R-2 – Selon la courbe :
- La rhéobase = 35 mV.
- Le temps utile = 4 ms.
- La chronaxie = 0,4 ms.
Définitions :
- La rhéobase : est l’intensité minimale de courant excitant qui permet de déclencher un PA.
- Le temps utile : C’est la durée minimale d’une excitation d’intensité égale à la rhéobase permettant de déclencher un PA.
- La chronaxie : C’est la durée d’une excitation, intensité égale au double de la rhéobase.
3 – La conductibilité
La conduction d’un nerf est la vitesse de propagation de l’influx nerveux à travers ce nerf.
Exemple : la figure suivante présente l’enregistrement du PA par les électrodes réceptrices A et B (AB) et C et D (CD).
Q – Calculez la vitesse de la propagation de l’influx nerveux dans ce nerf. Que peut-on conclure ?

Image: Image
L'image ne peut pas être affichée
R –
- V = (2 × 10-2)/(0,5 × 10-3) = 40 m/s.
- Bien que cette vitesse calculée semble grande, elle est très petite par rapport à la vitesse de propagation du courant électrique dans un fil de cuivre (300 000 Km/s). Donc l’influx nerveux n’est pas un courant électrique, mais plutôt un phénomène biologique de nature électrique.
Remarque : La conduction d’un nerf est influencée par plusieurs facteurs : la température, les substances d’anesthésie…
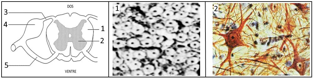
II – Histologie du système nerveux
1 – Système nerveux central ; Ex : moelle épinière

Image: Image
L'image ne peut pas être affichée
La figure suivante présente les éléments constituants la moelle épinière.
Q – Décrivez brièvement la moelle épinière.
R – La moelle épinière est constituée de deux parties distinctes :
- La matière blanche : située en périphérie, elle contient les axones des neurones sensoriels et des motoneurones, ces axones sont entourés par une gaine de myéline.
- La matière grise : en forme de papillon au centre, elle est constituée des corps cellulaires des neurones.
- Il existe une continuité entre la substance grise et la substance blanche, en fait les axones au niveau de la matière blanche sont des prolongements des corps cellulaires au niveau de la matière grise.
2 – Système nerveux périphérique : les nerfs

Image: Image
L'image ne peut pas être affichée
La (A) montre un schéma simplifié d’un nerf nerveux, et la figure (B) montre un schéma d’un axone myélinisé.
Q-1 – Complétez la figure.
Q-2 – Décrivez les constituants d’une fibre nerveuse.
R-1 – Les noms de la figure :
R-2 – Le nerf est constitué essentiellement par plusieurs fibres nerveuses, qui sont rassemblées en fascicules.
On distingue deux types de fibres nerveuses :
- Les fibres nerveuses myélinisées : sont composées d’un axone entouré d’une gaine de myéline.
- Les fibres nerveuses amyélinisées : l’axone n’est pas entouré par la myéline.
Remarque : Dans les fibres myélinisées, la myéline est absente dans les nœuds de Ranvier.
Bilan : Le système nerveux est constitué par plusieurs cellules nerveuses (neurones).
III – Le neurone : unité structurale et fonctionnelle du système nerveux
1 – Structure du neurone

Image: Image
L'image ne peut pas être affichée
La figure suivante présente un schéma simplifié du neurone.
Q-1 – Complétez la figure.
Q-2 – Décrivez la structure du neurone.
R-1 – Les noms de la figure :
R-2 – La cellule nerveuse est l’unité structurale et fonctionnelle du système nerveux, elle est constituée par :
- Un corps cellulaire : contient le noyau et se situe au niveau de la matière grise.
- L'axone : prolongement du corps cellulaire, qui constitue la matière blanche et les nerfs.
2 – Potentiel du repos
a – Mise en évidence
Pour mettre en évidence le potentiel de repos, on réalise l’expérience suivante :
- Dans le temps t0 : on place les électrodes réceptrices sur la membrane de l’axone.
- Dans le temps t1 : on introduit l’électrode R1 à l’intérieur de l’axone.
La fig (A) montre les résultats obtenus.
Remarque :
- La figure (A) montre le montage expérimental utilisé dans cette expérience.
- La figure (B) montre un schéma simplifié d’un oscilloscope.
Q – Interprétez les résultats obtenus. Que peut-on déduire ?
R-
- Au temps t0, on observe sur l’écran de l’oscilloscope une ligne droite qui passe par l’origine. Donc la différence de potentiel entre les plaques P1 et P2 est nulle (R1 et R2 ont le potentiel électrique).
- Au temps t1, la ligne descend et se stabilise à la valeur −70 mV (c’est le potentiel de repos). Puisque les e – ont été attirés par la plaque P2 (liée à R1) et repoussés par la plaque P1 (liée à R1), alors l’intérieur de l’axone est chargé négativement et sa surface est chargée positivement.

Image: Image
L'image ne peut pas être affichée
Bilan : Dans l’absence de toute excitation, il existe une différence de potentiel entre l’intérieur de l’axone et sa surface, c’est le potentiel d’action. Ce potentiel est dû à la polarité de la membrane de l’axone.
b – Origine du potentiel du repos
Pour comprendre l’origine du potentiel du repos, on propose l’étude des données suivantes.
- Données 1 : le tableau suivant montre les concentrations des ions (Na+ et K+) à l’intérieur et à l’extérieur d’un neurone de mammifère.
- Données 2 : Si on met des neurones dans un liquide physiologique contenant du Na+ radioactif, on observe l’apparition de la radioactivité dans le cytoplasme de neurone. Et si on transfère ce neurone dans un milieu non radioactif, on observe l’apparition de la radioactivité dans le milieu. Les mêmes résultats sont obtenus pour K+.
- Données 3 : Si on met un neurone dans un milieu contenant du cyanure (composé toxique qui inhibe la production de l’ATP), le potentiel de repos disparaît.
Q – En vous basant sur l’analyse de ces données expérimentales, expliquez le mécanisme de la formation du potentiel de repos.
R –
- Données 1 : les concentrations de Na+ et K+ sont différentes de part et d’autre de la membrane cytoplasmique de neurone, tel que : [Na+]ex <[Na+]in ; [K+] > [K+]in.
- Données 2 : Na+ et K+ diffuse selon le gradient de leurs concentrations, et ils sont aussi transportés dans le sens contraire de leur gradient de leurs concentrations.
- Données 3 : Si le transport actif est stoppé par l’ajout du cyanure, le potentiel de repos disparaît. Donc ce sont les différences des concentrations des ions (Na+, K+) qui sont à l’origine du potentiel du repos. Ces différences de concentrations sont maintenues par le transport actif.
Bilan :

Image: Image
L'image ne peut pas être affichée
3 – Potentiel d’action
a – Enregistrement et explication du PA
Pour enregistrer le PA, on réalise l’expérience suivante sur un axone de Calmar :
- Expérience 1 : au temps t0, on met les électrodes réceptrices sur la surface de l’axone. Au temps t1, on effectue une stimulation électrique à l’axone. L’enregistrement obtenu est présenté par la figure 1.
- Expérience 2 : au temps t0, on place l’électrode R1 à l’intérieur de l’axone et R2 un potentiel de référence (électrode de référence). Au temps t1, on effectue une stimulation électrique à l’axone. L’enregistrement obtenu est présenté par la figure 2.

Image: Image
L'image ne peut pas être affichée
Q – À l’aide de la figure 3, interprétez les enregistrements obtenus dans chaque expérience.

Image: Image
L'image ne peut pas être affichée
R-
- Explication du 1ᵉʳ enregistrement :
-
- La stimulation provoque, sur le neurone, l’apparition d’une onde de dépolarisation. Sur l’oscilloscope, le potentiel enregistré est 0 parce que R1 et R2 ont le même potentiel électrique. a-b représente le temps de latence.
- Dépolarisation au niveau de R1 (b-c), provoqué par l’arrivée de l’onde de dépolarisation à R1.
- Repolarisation au niveau de R1, provoquée par le passage de l’onde de dépolarisation.
- Dépolarisation au niveau de R2 provoqué par l’arrivée de l’onde de dépolarisation à R2.
- Repolarisation au niveau de R2, provoquée par le passage de l’onde de dépolarisation.
- Explication du 2ᵉ enregistrement :
- a-b-c-d : enregistrement du potentiel du repos.
- d-e : temps de latence.
- e-f : dépolarisation au niveau de R1.
- f-g : repolarisation au niveau de R1.
- g-h : hyper-polarisation (explication dans le paragraphe suivant).
b – Origine du PA
La figure suivante présente les variations de la ddp membranaire, et les variations de la perméabilité des ions Na+ et K+, durant un PA.
Le tableau montre l’ouverture de deux types de canaux membranaires (X et Y) durant un PA.
Q-1 – À l’aide de la figure, expliquez la relation entre la perméabilité membranaire aux ions Na+ et K+ et la formation du PA.
Q-2 – Réalisez (sur la même figure précédente) les courbes de variation de l’ouverture des canaux X et Y par rapport au temps.
Q-3 – Quel est le rôle des canaux X et Y (explique ta réponse).

Image: Image
L'image ne peut pas être affichée
R-1 – On constate sur la figure qu’il existe une relation entre la formation du PA et le changement de la perméabilité membranaire aux ions Na+ et K+. Tel que :
- La stimulation produit une augmentation brutale de la perméabilité membranaire aux ions Na+. La diffusion de Na+ du milieu extracellulaire vers le milieu intracellulaire est responsable de la dépolarisation membranaire.
- La perméabilité de la membrane au K+ augmente progressivement, et la fuite de K+ en dehors de la cellule ramène la polarité initiale de la membrane cytoplasmique, donc la repolarisation membranaire.
- Finalement, le PA est suivi d’une phase d’hyperpolarisation. Celle-ci est due à la continuité de la perméabilité membranaire au K+ pour une longue durée, et le courant sortant potassique hyper-polarise légèrement la membrane.

Image: Image
L'image ne peut pas être affichée
R-2 – Dessin sur la figure.
R-3 – On constate que :
- L’ouverture des canaux X se produit en même temps que la diffusion des ions Na+ dans la cellule nerveuse. Donc ces canaux sont responsables du changement de la perméabilité membranaire aux ions Na+.
- L’ouverture des canaux Y se produit en même temps que la diffusion des ions K+ en dehors de la cellule nerveuse. Donc ces canaux sont responsables du changement de la perméabilité membranaire aux ions K+.
- Alors ces canaux (X et Y) sont des canaux protéiques membranaires spécifiques, et ne s’ouvrent que lors de la stimulation. Pour cela, ils sont appelés les canaux voltage dépendants.

Image: Image
L'image ne peut pas être affichée
Bilan :
4 – Propriétés du neurone
a – Excitabilité
Afin de déterminer les conditions de l’excitabilité d’une fibre nerveuse, on propose l’étude des expériences suivantes.
- Expérience 1 : On applique à une fibre nerveuse isolée des excitations à intensité croissante de I 1 à I 5, les résultats obtenus sont représentés par l’enregistrement de la fig 1. La même expérience est réalisée sur un nerf (fig 2).
- Expérience 2 : On soumet un neurone à deux excitations successives de même intensité et séparées par un temps croissant (t 0 à t 3). Les résultats obtenus sont présentés par la fig 3.
Q – Expliquez les résultats obtenus dans chaque expérience.
R –
- Fig 1 : l’excitation I1 est une excitation inférieure à la rhéobase. Les excitations I2 à I5 sont des excitations efficaces, elles donnent toutes des PA identiques de même amplitude. Donc, la fibre nerveuse est soit excitable (excitation supraliminaire), soit inexcitable (excitation infraliminaire), c’est la loi de tout ou rien.
- Fig 2 : l’excitation I1 est une excitation inférieure à la rhéobase. Les excitations I2 à I5 sont des excitations efficaces, elles donnent des PA d’amplitudes croissantes, c’est la loi de recrutement. Elle est due à la structure du nerf formé de plusieurs fibres nerveuses, ainsi, plus l’intensité de la stimulation augmente, plus le nombre de fibres nerveuses excitées est important et plus l’amplitude du potentiel d’action augmente. Après I4, bien que l’intensité de l’excitation augmente, l’amplitude du PA reste constante et maximale, car toutes les fibres nerveuses du nerf sont excitées.
- Fig 3 :
- t0 : Quand le temps qui sépare S0 et S1 est très court, la 2ᵉ excitation ne produit pas de PA. C’est la période réfractaire absolue.
- t1 et t2 : avec l’augmentation du temps qui sépare S0 et S1, l’amplitude du 2ᵉ PA augmente, mais reste inférieure à l’amplitude du 1ᵉʳ PA. C’est la période réfractaire relative.
- À partir de t3 les deux PA enregistrés sont identiques.
b – La conductibilité
La vitesse de conduction de l’influx nerveux varie selon plusieurs facteurs, le tableau suivant présente la valeur de la vitesse de conduction en fonction de certains facteurs.
La vitesse de conduction des fibres nerveuses varie selon :
- L'espèce animale : élevée chez les mammifères à sang chaud, faible chez les amphibiens à température interne variable.
- Le diamètre des fibres : dans le même type, plus le diamètre de la fibre est grand, plus la conduction est rapide.
- Le type de fibre : la conduction est plus rapide dans les fibres myélinisées par rapport aux fibres amyélinisées.
Mais comment se fait la conduction de l’influx nerveux dans une fibre nerveuse ?
La figure suivante montre le mécanisme de conduction de l’influx nerveux dans un neurone myélinisé et un autre amyélinisé.

Image: Image
L'image ne peut pas être affichée
IV – La communication entre les neurones
1 – Organisation en réseau
Les neurones ne sont pas indépendants les uns des autres. Ils établissent entre eux des liaisons et forment des chaînes de neurones constituant un réseau énorme et complexe.
Les neurones sont des cellules excitables qui reçoivent et transmettent des signaux de nature électrochimique. Les dendrites et l’axone assurent la transmission de ces signaux, comme le font les fils d’un circuit électrique.
Comment ce réseau fonctionne-t-il ?
2 – Itinéraire du message nerveux
a – Expériences de Magendie est Waller

Image: Image
L'image ne peut pas être affichée
Pour comprendre le rôle de différentes structures impliquées dans le réflexe myotatique, on propose l’étude des expériences présentées par le tableau suivant.
Q – Que peut-on conclure des résultats de ces expériences ? sachant que lorsqu’on coupe une cellule, seule la partie, le noyau, survit. Le reste dégénère et disparaît.
R –
- à partir des résultats observés par Waller, on conclut :
- Le corps cellulaire des fibres nerveuses de la racine postérieure se trouve dans le ganglion spinal, ce sont des neurones de type T.
- Le corps cellulaire des fibres nerveuses de la racine antérieure se trouve dans la partie centrale au niveau de la substance grise de la moelle épinière, ce sont des neurones multipolaires.
- À partir des résultats observés par Magendie, on conclut :
- Le nerf rachidien est un nerf mixte formé de fibres nerveuses sensitives et de fibres nerveuses motrices.
- La racine postérieure porte les fibres nerveuses sensitives.
- La racine antérieure porte les fibres nerveuses motrices.
b – Sens des influx nerveux

Image: Image
L'image ne peut pas être affichée
Pour comprendre comment les nerfs sensitifs communiquent avec les nerfs moteurs, on propose l’étude des résultats expérimentaux suivants.
Sur un circuit de deux neurones 1 et 2 ; on réalise une excitation efficace sur un neurone et on enregistre les PA d’actions sur l’autre. La figure suivante montre les résultats obtenus.
R –
- L’excitation de neurone 1 a permis d’enregistrer des PA sur le neurone 2, ils étaient transmis de l’arborisation terminale du neurone 1 vers le corps cellulaire du neurone 2.
- L’excitation de neurone 1 n’a donné aucun PA sur le neurone 2, les PA ne peuvent être transmis du corps cellulaire à l’arborisation terminale.
Remarque : la zone de contact entre deux neurones est appelée synapse. Les synapses sont donc unidirectionnelles.
3 – La synapse chimique
a – Structure
Les synapses chimiques présentent à la fois une asymétrie de structure et une asymétrie fonctionnelle.
- Au niveau présynaptique : la terminaison axonale forme un petit renflement ou bouton terminal qui présente deux caractéristiques essentielles :
- Il est riche en mitochondries.
- Il renferme de nombreuses vésicules synaptiques.
- Au niveau post-synaptique : l’élément nerveux (dendrite, soma ou axone) ne renferme pas de vésicule, mais présente des récepteurs protéiques.

Image: Image
L'image ne peut pas être affichée
b – Mécanisme de transmission synaptique

Image: Image
L'image ne peut pas être affichée
La figure suivante présente des dessins explicatifs du mécanisme de la transmission synaptique.
R – Quand le PA présynaptique atteint la membrane pré-synaptique, il provoque :
- Libération de contenu des vésicules pré-synaptiques, c’est l’exocytose du neurotransmetteur dans la fente synaptique.
- Fixation du neurotransmetteur sur des récepteurs spécifiques sur la membrane postsynaptique.
- Diffusion de Na+ dans à l’intérieur du neurone postsynaptique.
- Naissance du PA poste-synaptique qui se propage le long du neurone.
Remarque : la transmission synaptique est unidirectionnelle, car les vésicules (neurotransmetteur) ne se trouvent que dans le cytoplasme présynaptique, et les récepteurs du neurotransmetteur ne se trouvent que sur la membrane postsynaptique.
c – Synapse inhibitrice et synapse excitatrice
La figure suivante présente l’enregistrement obtenu au niveau post-synaptique suite à l’utilisation de deux types de neurotransmetteurs.
Q – Que peut-on conclure de ces résultats ?
- L’utilisation de l’acétylcholine provoque l’enregistrement d’un PA postsynaptique excitateur (PPSE). Les synapses utilisatrices de ce type de neurotransmetteur sont appelées synapses excitatrices.
- L’utilisation du GABA provoque l’hyperpolarisation du neurone post-synaptique, c’est un PA post-synaptique inhibiteur (PPSI). Les synapses utilisatrices de ce neurotransmetteur sont appelées synapses inhibitrices.
d – Intégration synaptique

Image: Image
L'image ne peut pas être affichée
La figure suivante montre un schéma explicatif de l’intégration synaptique au niveau d’un neurone moteur.
Chaque neurone reçoit des (PPSE) et des (PPSI). Si la somme des PPSE dépasse celle des PPSI, le neurone moteur est dépolarisé au-delà du seuil, ce qui déclenche un influx nerveux. En revanche, si la somme des PPSI dépasse celle des PPSE, le neurone ne parvient pas à atteindre le seuil de dépolarisation, et aucun influx nerveux n’est généré.